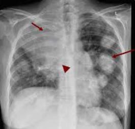
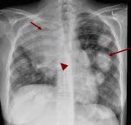
Case Series Of Metastatic Lung Cancers Treated With Combination Repurposed Drug Regimens - Short Version
All patients presented herein were seen and treated consecutively to avoid presenting unrealistic or overstated efficacy. Still, the outcomes, in my mind, have been impressive.
In an earlier post, I reviewed the current state of research on repurposed drugs in oncology. I recommend reading it first, as it provides essential context for understanding the crucial role these drugs can play in achieving the outcomes described in the cancer patients discussed here.
Here, I present the patients' case histories in a concise, organized format with minimal commentary (just the facts, ma’am). Note that only first names are included, and all names have been changed to protect privacy. All patients gave consent to publish their case histories.




